Book an Appointment
Call Now
Free Medical Opinion
Get free online consultation *** Limted Period ***

Safe and Painless Dental Extraction



WhatsApp Chat with us
JYN GROUP

Hi 👋, I’m June. How can I help you?



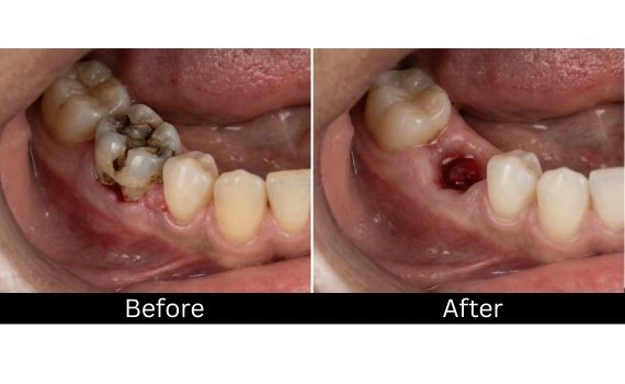
What is Dental Extraction?

Dental extraction is the careful removal of a tooth from its socket in the jaw-bone. It is done when a tooth is too damaged by decay, fracture or gum disease to be saved, or when space is needed for braces or implants. The dentist numbs the area, loosens the tooth and lifts it out. The goal is to eliminate pain and infection while keeping surrounding bone and gum as intact as possible for future replacement. Local anesthetic ensures you feel pressure, not pain, and intra-oral cameras help the dentist see cracks or root curves before touching the tooth. Once the tooth is out, the socket is cleaned and a dissolvable stitch or bone-graft substitute is placed to preserve the ridge for an implant or bridge later. Most extractions take 15–20 minutes, and you can fly home the next day. Because the socket is the future site for an implant, JYN surgeons always check bone width and place a collagen plug or graft material immediately. This “socket preservation” stops the ridge from shrinking, so you won’t need extra bone grafting months later.

Get a Quote
Pre-Flight Booking Assistance
On-Arrival Assistance & Guidance

Advanced Technology & Equipment

JYN Group partners with Internationally Accredited Hospitals and Clinics that use piezo-electric ultra-sonic motors, intra-oral X-rays and computer-guided forceps. The procedure can be simple (visible tooth) or surgical (impacted or broken tooth). As said, modern clinics use piezo-electric ultrasonic tips that vibrate the tooth loose without brute force, reducing pain and swelling.

Operation rooms meet International Patient Standards; instruments are single-packed and autoclaved. Every patient receives a post-op pack (gauze, ice pack, pain killers, soft-food menu). Each center stores grafts in a temperature-controlled holding solution and logs every follicle under a microscope, so, you know exactly how many hairs were moved and where they went. Punches are colour-coded - 0.7 mm for single hairs along the hairline, 0.8 mm for doubles, 0.9 mm for triples, therefore, this protects the skin and reduces visible dots.

Book Your Treatment Consultation

Get a free medical opinion from top Indian specialists. We assist Nigerian patients from consultation to recovery.

Types / Procedures Available

Extraction plans are chosen by tooth condition, root shape and patient comfort.

  • Simple Extraction,in which the process loosen and lift visible tooth, and all of this is done under local anesthetic
  • Surgical Extraction includes small gum incision and bone removal, it is usually used for broken or impacted teeth
  • Sectional Extraction in which the tooth is divided into pieces, and preserves the bone for later implant
  • Wisdom Tooth Removal,includes removal of all four third molars in one visit, also sedation is available
  • Same-Day Socket Graft the bone graft is placed immediately after extraction, also, it prepares site for implant

Know More About Our Services
Food Service & Patient Care
Pickup and Drop Service

How much does Dental Extraction Cost?

Extractions are low-cost dental procedures. In the USA, a simple extraction averages $150–$400. Through medical tourism you can save up to 50-65% even after flights and hotel. A simple extraction package in Istanbul, including X-ray, local anesthetic and 2 nights hotel, usually lands at $60–$80, saving you over $200 compared with London or New York clinics.

Which are the Cheapest, yet Safe markets for Dental Extraction?

Turkey, Hungary and India lead the price and quality ranking. An all-inclusive 3-day package (consult, extraction, hotel, airport transfers) ranges from $60 in Istanbul to $120 in Budapest, still hundreds less than clinics in London or New York.

DID YOU KNOW ?

  • Dental Extraction is the most common minor surgery in global healthcare tourism .
  • Over 50 million extractions are performed each year world-wide .
  • They account for 30-35% of all cross-border dental procedures .
  • Patient satisfaction rate: 92%; pain relief is immediate .
  • Average chair time per tooth: 15 minutes; patient walks out the same hour

Cheapest Yet Safe Markets for Dental Extraction

Dental Extraction is one of the most popular cosmetic procedures globally. Countries like Turkey and Poland are especially preferred, where patients can expect an average total cost of around $4,000, including surgery, hospital stay, accommodation, and even flight expenses.

Turkey

World-renowned cosmetic surgeons, modern hospitals, and affordable all-inclusive packages.

Explore Treatment in Turkey →
Poland

High European medical standards with significantly lower treatment costs.

Explore Treatment in Poland →
Thailand

Advanced cosmetic clinics combined with luxury recovery and excellent patient care.

Explore Treatment in Thailand →
Mexico

A top choice for patients seeking affordable cosmetic surgery close to North America.

Explore Treatment in Mexico →
India

Known for body-contouring expertise with globally recognized dental surgeons.

Explore Treatment in India →
Hungary

The global leader in cosmetic innovation and precision-driven procedures.

Explore Treatment in Hungary →

Speak Directly With Our Medical Care Team

Call now to discuss your treatment options, costs, and travel to India.

Call Now

Internationally Accredited Hospitals for Dental Extraction

Every hospital partnered with JYN Group for Dental Extraction meets strict international healthcare standards. All facilities are accredited by globally recognized quality and patient-safety authorities — ensuring that safety and excellence are built into the price.

JCI

Joint Commission International accreditation confirms world-class hospital infrastructure, patient safety, and clinical outcomes.

TÜV-SÜD

Turkey’s leading international certification body ensuring medical quality, hygiene standards, and surgical safety.

Centrum Monitorowania Jakości

Poland’s national healthcare quality authority maintaining strict European clinical and patient-care standards.

HA Thailand

Thailand’s official hospital accreditation program ensuring excellence in cosmetic and surgical care.

COFEPRIS – CSG

Mexico’s federal health authority regulating hospital safety, medical practices, and surgical compliance.

Helvetic Clinics

Frequently used in professional communications to highlight their Swiss protocols and ISO certifications

FMS International Dental Center (India)

This center is NABH accredited and features a dedicated International Patient Desk to assist with visas and airport transfers.

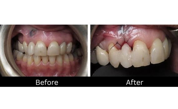
Patient Results

Patient Result Patient Result Patient Result Patient Result

What Our Clients Say

“Wisdom tooth removed in Istanbul cost me $80 including X-ray. I flew home the next morning and ate soup the same night no swelling, no pain”

“Surgical extraction in Budapest took 20 minutes. Cost $100 all-in. My own dentist back home said the socket was perfectly clean.”

Same-day socket graft in Mumbai filled the gap after my broken premolar. Total cost $120. Implant goes in next month—site is already healed.

Frequently Asked Questions About Dental Extraction

Clear answers to the most common concerns patients have before planning Dental Extraction with JYN Group.

Short-haul: Day 1. Long-haul: Day 2 once swelling is down and any stitches dissolve.

Simple extractions: no. Surgical/impacted cases: dissolvable stitches placed; gone in 7-10 days.

Yes. The tooth is gone for good; socket heals with bone and gum.

Mouth is numbed with local anesthetic; you feel pressure, not pain. Soreness lasts 2-3 days.

Soft food: same day. Crunchy apples: after 48 hours. Hot drinks: after 24 hours.