Book an Appointment
Call Now
Free Medical Opinion
Get free online consultation *** Limted Period ***

Dental Bridges for Missing Teeth



WhatsApp Chat with us
JYN GROUP

Hi 👋, I’m June. How can I help you?



What are Dental Bridges?

A dental bridge is a fixed row of false teeth that is cemented onto the natural teeth or implants on either side of a gap. It “bridges” the empty space, letting you chew, speak and smile normally again. Bridges can be made from porcelain, zirconia or metal-ceramic and are colour-matched to your own teeth. The goal is to replace missing teeth without removable dentures, giving you a permanent solution that looks and feels natural. Because the bridge is glued in place, you brush and floss it just like you do it on your real teeth, so, no nightly soaking, no clicking sounds. Each false tooth (pontic) is shaped to touch the gum gently, so, it looks as though it grows from your jaw.

  • One or two missing teeth in a row
  • Teeth lost to injury, decay or gum disease
  • Sunken cheeks caused by missing back teet
  • Difficulty chewing meat or hard foods
  • Speech changes due to gaps
  • Drifting of neighboring teeth into the empty space
Get a Quote
Pre-Flight Booking Assistance
On-Arrival Assistance & Guidance

Advanced Technology & Equipment

JYN Group partners with Internationally Accredited Hospitals and Clinics that use 3-D intra-oral scanners, CAD/CAM milling machines and laser-sintered zirconia. Operation rooms meet International Patient Standards, the bridges are sourced from global labs (Ivoclar, Vita, 3M) and tracked by barcode.

Every patient receives a digital design file and a post-op care kit (floss threaders, soft brush, night-guard). Intra-oral cameras take a 3-D video of your bite in under two minutes. After this, the file is sent to an on-site mill that carves the bridge from a solid ceramic block in 15 minutes, ready to cement the same afternoon.

Book Your Treatment Consultation

Get a free medical opinion from top Indian specialists. We assist Nigerian patients from consultation to recovery.

Types / Procedures Available

Crown plans are built around tooth position, bite force and cosmetic demand.

  • ATraditional Bridge, includes crowns on both sides with false tooth in the middle, it is one of the most common type
  • Cantilever Bridge, has a crown on one side only, and it is used when only one neighbor tooth exists
  • Maryland Bridge in which, metal or porcelain wings glued to back of adjacent teeth, it does not include full crowns
  • Implant-Supported Bridge,in which screws replace roots, bridge clips on top, and involves no grinding of neighbors
  • Zirconia Bridge uses a metal-free white ceramic, which is perfect for front smile zone
  • Same-Day CAD/CAM Bridge conducts a digital scan, mill and cement - all in one in one visit

Know More About Our Services
Food Service & Patient Care
Pickup and Drop Service

How much does Dental Bridges Cost?

Bridges are mid-range in restorative dental pricing. In the USA a 3-unit porcelain bridge averages $2,500–$4,000. Through medical tourism you can save up to 60-70% even after flights and hotel. A 3-unit porcelain bridge package in Istanbul, including digital scan, temporary bridge and 3 nights hotel, and it usually lands around $600–$750, saving you over $2,000 compared with London or New York clinics.

Which are the Cheapest, yet Safe markets for Dental Bridges?

Turkey, Hungary and India lead the price–quality ranking. An all-inclusive 5-day package (consult, bridge, hotel, airport transfers) ranges from $600 in Istanbul to $1,000 in Budapest—still thousands less than clinics in London or New York.

DID YOU KNOW ?

  • Dental Bridges enjoy a 10-year survival rate of 85–95% in global healthcare tourism .
  • Over 15 million bridges are placed each year world-wide .
  • They account for 20-25% of all cross-border restorative dental procedures .
  • Patient satisfaction rate: 91%, also, chewing power returns to 85% of natural teeth .
  • Average chair time per bridge: 90 minutes, in fact, patient walks out the same day

Cheapest Yet Safe Markets for Dental Bridges

Dental Bridges is one of the most popular cosmetic procedures globally. Countries like Turkey and Poland are especially preferred, where patients can expect an average total cost of around $4,000, including surgery, hospital stay, accommodation, and even flight expenses.

Turkey

World-renowned cosmetic surgeons, modern hospitals, and affordable all-inclusive packages.

Explore Treatment in Turkey →
Poland

High European medical standards with significantly lower treatment costs.

Explore Treatment in Poland →
Thailand

Advanced cosmetic clinics combined with luxury recovery and excellent patient care.

Explore Treatment in Thailand →
Mexico

A top choice for patients seeking affordable cosmetic surgery close to North America.

Explore Treatment in Mexico →
India

Known for body-contouring expertise with globally recognized dental surgeons.

Explore Treatment in India →
Hungary

The global leader in cosmetic innovation and precision-driven procedures.

Explore Treatment in Hungary →

Speak Directly With Our Medical Care Team

Call now to discuss your treatment options, costs, and travel to India.

Call Now

Internationally Accredited Hospitals for Dental Bridges

Every hospital partnered with JYN Group for Dental Bridges meets strict international healthcare standards. All facilities are accredited by globally recognized quality and patient-safety authorities — ensuring that safety and excellence are built into the price.

JCI

Joint Commission International accreditation confirms world-class hospital infrastructure, patient safety, and clinical outcomes.

TÜV-SÜD

Turkey’s leading international certification body ensuring medical quality, hygiene standards, and surgical safety.

Centrum Monitorowania Jakości

Poland’s national healthcare quality authority maintaining strict European clinical and patient-care standards.

HA Thailand

Thailand’s official hospital accreditation program ensuring excellence in cosmetic and surgical care.

COFEPRIS – CSG

Mexico’s federal health authority regulating hospital safety, medical practices, and surgical compliance.

Helvetic Clinics

Frequently used in professional communications to highlight their Swiss protocols and ISO certifications

FMS International Dental Center (India)

This center is NABH accredited and features a dedicated International Patient Desk to assist with visas and airport transfers.

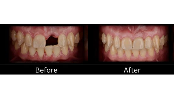
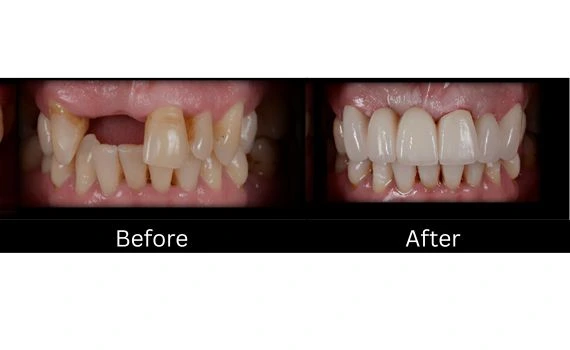
Patient Results

Patient Result Patient Result Patient Result Patient Result

What Our Clients Say

“Three-unit zirconia bridge in Istanbul cost me $720 including hotel. I flew home Day 3 and bit into an apple a week later—no wobble, perfect shade match.”

“Same-day CAD/CAM bridge in Budapest replaced my missing molar in 2 hours. Cost $680 all-in. My own dentist back home said the fit was flawless”

Implant-supported bridge in Mumbai gave me back four teeth for $1,200. No grinding of neighbors, and I can finally chew steak again.

Frequently Asked Questions About Dental Bridges

Clear answers to the most common concerns patients have before planning Dental Bridges with JYN Group.

Short-haul: Day 2. Long-haul: Day 3 once the cement is set and bite is checked.

No. A temporary bridge is fitted the same day; final bridge is cemented 24-48 hours later.

Yes. The bridge is cemented and can last 10-15 years with good oral hygiene.

Tooth is numbed with local anesthetic; you feel vibration, not pain. Sensitivity lasts 2-3 days.

Soft food: same day. Crunchy apples: after 24 hours. Sticky toffee: after 48 hours.